Жительница Сахалина прожила всю жизнь с иглой в мозгу

По всей видимости, так родители планировали умертвить ребенка в военное время

2:27, 7 октября 2023 Общество
b9665cf2-d75b-46b5-8296-1601dabc5bb2_3.jpg
Фото: astv.ru.

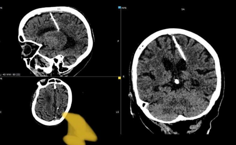
С невероятным и от части грустным случаем в своей практике столкнулись сахалинские рентгенологи – в мозгу 80-летней пациентки они обнаружили трехсантиметровую иглу, сообщает astv.ru.

Как рассказали в минздраве Сахалинской области, женщина живет с инородным телом с рождения, таким образом родители решили умертвить ребенка в сложное военное время. Такие случаи в голодные годы были не редкостью: младенцу в родничок вставлялась тонкая игла, которая повреждала мозг. Родничок быстро затягивался, скрывая следы преступления, а малыш погибал.

Из-за того, что игла проникла в левую теменную долю, гражданке удалось выжить, к тому же, наличие инородного тела в головном мозгу никак не повлияло на ее жизнь, обошлось даже без головных болей. Иглу заметили только в этом году при проведении компьютерной томографии.

В настоящее время здоровью пациентки ничего не угрожает, за ее состоянием наблюдает лечащий врач. Оперативное вмешательство было принято не проводить, так как это может только ухудшить ее состояние.

Новости Владивостока в Telegram - постоянно в течение дня.
Подписывайтесь одним нажатием!