Мужчину с огромной кистой печени спасли приморские хирурги

Врачи удалили из кисты около двух литров жидкости, когда пациент уже потерял сознание

10:47, 30 ноября 2025 Общество
IMG_8871.jpeg
Фото: Минздрав Приморья

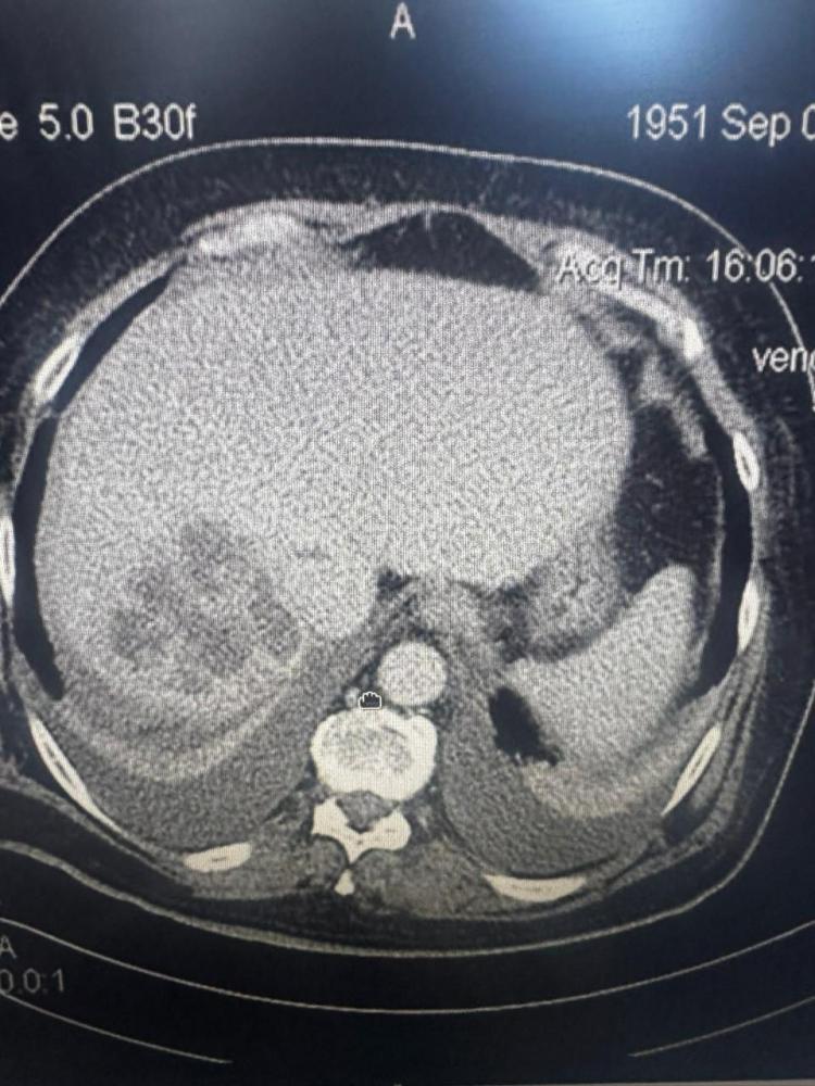
Бригада скорой помощи доставила во Владивостокскую клиническую больницу № 1 53-летнего мужчину, потерявшего сознание от сильных болей в животе. Экстренное УЗИ выявило критическое состояние: огромная киста полностью перекрывала печень и требовала немедленного вмешательства, сообщает РИА VladNews со ссылкой на Минздрав Приморья.

Руководитель отделения общей хирургии Игорь Кондрашов рассказал, что под местной анестезией и контролем УЗИ хирурги оперативно установили дренаж. Из кисты было эвакуировано около двух литров жидкости, после чего в полость ввели специальные склерозирующие препараты, чтобы предотвратить повторное наполнение.

Благодаря слаженной работе команды хирургов, анестезиологов и специалистов УЗИ малоинвазивная процедура прошла быстро и безопасно, позволив избежать больших разрезов и долгой реабилитации. После нескольких дней наблюдения в стационаре пациент сможет вернуться домой, полностью восстановившись.

 

Новости Владивостока в Telegram - постоянно в течение дня.
Подписывайтесь одним нажатием!