Самокатчик чудом выжил после аварии во Владивостоке

Врачи спасли жизнь парню со сложной черепно-мозговой травмой

17:17, 5 октября 2025 Общество
IMG_4293.jpeg
Фото: пресс-служба Тысячекоечной больницы Владивостока

18-летний Артем, управлявший электросамокатом, столкнулся с автомобилем. Парня привезли в Тысячекоечную больницу в критическом состоянии, сообщает РИА VladNews со ссылкой на пресс-службу медучреждения.

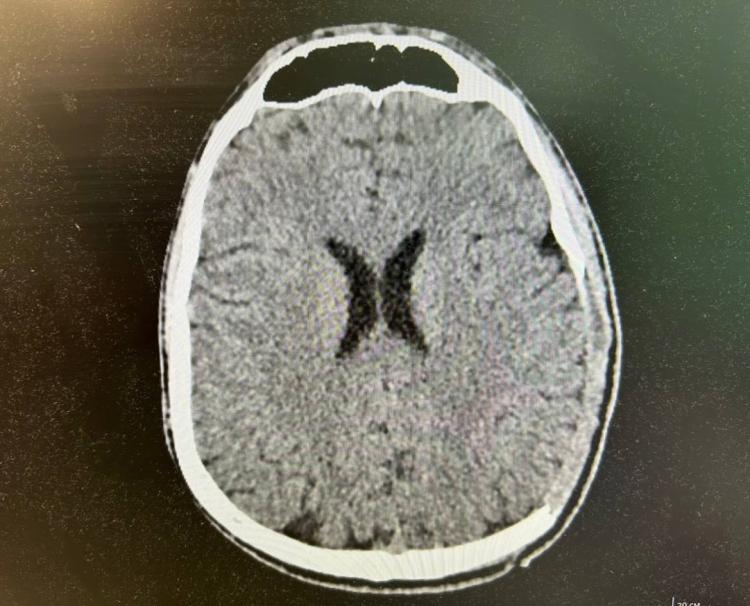
Множественные травмы – тяжелый ушиб головного мозга, переломы костей черепа, открытый перелом голени и кисти – требовали немедленного вмешательства. Каждая секунда была на вес золота.

Команда реаниматологов, нейрохирургов и травматологов действовала слаженно, борясь за жизнь Артема. Экстренная обработка ран, остановка кровотечения, противошоковая терапия, сложнейшая нейрохирургическая операция по устранению последствий ЧМТ и остеосинтез для фиксации перелома голени – все это было проведено в условиях максимальной спешки.

«Любое промедление могло обернуться необратимыми последствиями, вплоть до летального исхода от кровоизлияния в мозг», – пояснил заведующий нейрохирургическим отделением Сергей Моисеенко.

После двух недель в реанимации, Артем начал долгий путь к выздоровлению, переходя из одного отделения в другое. Месяц интенсивного лечения дал свои плоды: молодой человек был выписан с обнадеживающей положительной динамикой. Впереди его ждет реабилитация и плановая операция по установке титановой пластины для восстановления целостности черепа.

Медики Тысячекоечной вновь напоминают: электросамокат – это средство повышенной опасности. Соблюдение ПДД, отказ от поездок в нетрезвом или утомленном состоянии, а также в плохую погоду – залог вашей безопасности.

Новости Владивостока в Telegram - постоянно в течение дня.
Подписывайтесь одним нажатием!